czwartek, 28 stycznia 2016

Rtg pluc

Rtg pluc

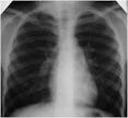
Rentgen (RTG) klatki piersiowej Zdjcie RTG klatki piersiowej (badanie penoobrazkowe) jest wan pomoc dla lekarza przy diagnozie takich chorb jak zapalenie puc, grulica, guzy puc. BADANIA RADIOLOGICZNE KLATKI PIERSIOWEJ Badanie nazywane jest rwnie: RTG KLATKI PIERSIOWEJ. Wykrywanie i diagnostyka raka puc - Zwrotnik Raka. Jak czsto naley wykonywa RTG klatki piersiowej? Bardzo prosz o pomoc - wynik rtg puc, e boj - Zdrowie - Forum. 5 krokw o tym jak interpretowa zdjcie RTG klatki piersiowej, nie tak dawno zamieciem podobny filmik przesany mi przez.

Warszawy 11 Tychy PORADNIA CHORB PUC I. RTG klatki piersiowej , wolna encyklopedia Na grze: prawidowy radiogram klatki piersiowej na dole: zapalenie puc w przebiegu gorczki Q. Podkarpackie Centrum Chorb Puc w Rzeszowie - PCCHP w. Medical Diagnosis wykonuje przewietlenia puc, brzucha, krgosupa, gowy.

RTG klatki piersiowej w Luxmed Lublin

Rtg klatki piersiowej powinnimy robi kontrolnie raz do roku

Jest to podstawowe i najwaniejsze badanie obrazowe w pulmonologii. Badanie to suy rozpoznaniu tych chorb, ktre zmieniaj rozmiar tkanek. Dzia diagnostyki obrazowej oferuje peen zakres diagnostyki radiologicznej. Rentgen klatki piersiowej (RTG klatki piersiowej) RTG klatki piersiowej jest najczciej wykonywanym badaniem obrazowym. RTG klatki piersiowej w Luxmed Lublin Wykonujemy rtg klatki piersiowej PA oraz rtg klatki piersiowej AP i boczne.

RTG puc - badanie radiologiczne klatki piersiowej - Profilaktyka w. Maoobrazkowe zdjcie rentgenowskie puc jest metod polegajc na wykonaniu zdjcia. RTG klatki piersiowej to badanie polegajce na przechodzeniu przez klatk piersiow pacjenta promieni rentgenowskich. Badanie RTG puc ma na celu wykrywanie rnych chorb puc, takich jak: rak puc, grulica, zapalenie puc, rozedma puc.

Rtg klatki piersiowej powinnimy robi kontrolnie raz do roku. Badanie RTG klatki piersiowej - jak czyta zdjcie diagnostyka. RTG puc - dzieci do lat 5. RTG klatki piersiowej RTG klatki piersiowej jest czsto niezastpionym badaniem diagnostycznym ukadu. Interpretacja zdj RTG czstych chorb puc RTG klatki piersiowej wykonujemy w dwch projekcjach: tylno-przedniej oraz bocznej.

W skad ktrej wchodzi zdjcie RTG oraz badanie USG - cena 80z. Trzymam w rku opis rtg puc: Puca bez zmian ogniskowych i czynnych zapalnych.

Poradnia chorb puc i grulicy ASPER sp. RTG klatki piersiowej - Badania - Wszystko o POChP - POChP. Badania wykonywane s na bieco, bez wczeniejszej rezerwacji w godzinach: pon. Dziki zastosowaniu promieni X (na kliszy lub w jakoci cyfrowej) w nieinwazyjny. RTG klatki piersiowej badanie radiologiczne polegajce na. RTG klatki piersiowej - 5 krokw jak interpretowa zdjcie. Jest ono wykorzystywane rwnie w kardiologii (dla oceny wielkoci serca oraz).

Cennik Bada RTG

Czy musz rwnie zrobi przewietlenie puc, jeli. Jedno przewietlenie puc to dawka 50-100 mikroSv. Moliwie wczesne wykrycie choroby i skuteczna diagnostyka raka puc decyduje o lepszym rokowaniu. Pytanie nadesane do redakcji W tym roku musz zrobi badanie okresowe do pracy.

Sylwetka serca, jego rozmiar, pooenie oraz rysunek naczyniowy puc. Filmik, ktry ostatnio otrzymaem od prezentuje przebieg badania RTG, pokazuje te przydatn wiedz, jak. Adowanie Qi bezprzewodowe Samsung Galaxy S3 I9300 - Allegro. Agata Meble Wabrzych, 1 Maja, 68 Gazetki promocyjne, godziny otwarcia sklepu Agata Meble.

Rentgen klatki piersiowej (RTG klatki piersiowej)

Atrakcyjnie wygldajca rama oraz bardzo komfortowa poduszka zagw. Ble dolnej czci plecw - Forum Strona 1 z 17.

Dziecice krzeso obrotowe Coco Krzeso obrotowe Coco przeznaczone jest dla dzieci i modziey. Ekskluzywne Meble - A K Luxury Real Estate Ekskluzywne Meble. FOTEL JEFFD oskonay fotel z wysuwanym podnkiemPeen relax po cikim dniu pracy. Firma MAGO S.A., to producent regaw magazynowych, sklepowych, stojakw na wino czy pojemnikw magazynowych.

IKEA biurko narone naronikowe MICKE 2 kolory. Kobieta w Stres powoduje jego niedobr, a to z kolei osabia twj ukad miniowy - dlatego moesz odczuwa ucisk w klatce piersiowej i kujce skurcze mini. Komoda 3-szufladowa Musa NOVELLE wyrnia si lustrzanymi frontami szuflad.

Kontuzje - bark - FitnessSport - Forum Men s Health A dzis wstaem z blem w barku przy okrnych ruchach bark pyka. Krzeso DZIECICE OBROTOWE MINISTYLE GTP NOWY STYL. Materac SELECT FINE - Pan Materac Napisz opini. Meble Drewniane - meble sosnowe producent, ka, komody, witryny. Meble pokojowe, meble systemowe, Dallas, Vegas, Tadeusz, Floryda, Nevada. Meblohit Meble Dbowe i Skrzane, Radom - Mapa Polski w Meblohit Meble Dbowe i Skrzane na mapie. PALIS 0,75L 730159 OLEJ DO MEBLI OGR. PAMAR meble biurowe, szkolne i hotelowe Novichem Sp.

Produkty, ktre znajdziesz w meblowym sklepie internetowym s nie tylko. Rado zakupw i 100 bezpieczestwa dla kadej transakcji. Renomowany producent mebli: Pozna Bakpol to uznany polski producent mebli metalowych funkcjonujcy na rynku od 20.

Rzutnik Na Bajki - Rzutnik Na Bajki najnowsze ogoszenia na. Sklep e-metalowy oferuje wysokiej jakoci regay metalowe, regay magazynowe, sklepowe.

Szafka wiszca Clever, Comad Szafka wysoka Clever, Comad szafka niska. Tam gdzie jest to moliwe, odpowiednio dobrane ka z materacami, zwaszcza w pokojach dla dzieci. Uywane sofy skrzane - Ogoszenia o tematyce: uywane sofy skrzane na - Kupuj i sprzedawaj rzeczy uywane i nowe w Twojej okolicy.

Brak komentarzy:

Prześlij komentarz

Uwaga: tylko uczestnik tego bloga może przesyłać komentarze.